logo
좋은 가격  온라인으로

제품 세부 정보

Created with Pixso. Created with Pixso. 상품 Created with Pixso.
치과 생물 모방 미학
Created with Pixso. Joydentalab의 인기 제품: 시뮬레이션 심미 비니어

Joydentalab의 인기 제품: 시뮬레이션 심미 비니어

브랜드 이름: Joydenta
MOQ: 유연한
배달 시간: 4 일로 일합니다
지불 조건: 전신환 페이팔
자세한 정보
포장 세부 사항:
상자가 있는 버블랩
공급 능력:
500건/일
강조하다:

시뮬레이션 치과 비니어 심미

,

보증이 있는 치과 비니어

,

인기 있는 심미 비니어 치과

제품 설명
Joydentalab의 인기 제품: 시뮬레이션된 심미적 비니어
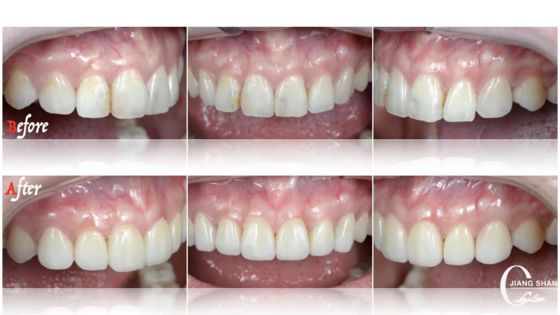
자연스러운 심미적 비니어로 미소를 변화시키세요 - 사례 연구

저희 치과 기공소는 자연 치아와 완벽하게 조화되는 프리미엄 맞춤형 심미적 비니어를 제작하는 데 자부심을 가지고 있습니다. 최근 선도적인 치과 클리닉과의 협력을 통해 또 하나의 놀라운 미소 변신을 이루어냈으며, 이 특별한 사례를 여러분과 공유하게 되어 기쁩니다.

환자는 다음과 같은 증상을 보였습니다: 미적 감각과 자신감에 영향을 미치는 변색되고 고르지 못한 치아.

결과: 밝고 대칭적이며 자연스러운 미소는 많은 것을 말해줍니다.

정밀함과 예술적 감각으로 디자인된 고품질 도자기 비니어를 사용하여 자연 에나멜의 빛 반사 특성을 완벽하게 모방한 얇고 내구성이 뛰어난 라미네이트 세트를 만들었습니다. 결과는? 흠 잡을 데 없고 오래 지속되는, 진짜처럼 보이는 미소입니다.

저희 치과 비니어를 선택해야 하는 이유는?
  • 맞춤화: 각 비니어는 환자의 얼굴 특징과 원하는 결과를 일치시키기 위해 디지털 방식으로 디자인되고 수작업으로 마감됩니다.
  • 생체 적합성: 자연스러운 외관과 지속적인 성능을 위해 프리미엄 얼룩 방지 재료만 사용합니다.
  • 최소 침습: 저희 초박형 비니어는 치아를 거의 또는 전혀 줄일 필요가 없어 자연 치아 구조를 보존합니다.

이 사례는 적절한 전문 지식과 재료를 통해 현대적인 심미 치과가 무엇을 달성할 수 있는지 보여주는 증거입니다. 미소 성형을 제공하려는 치과 의사이든, 자신감 향상을 원하는 환자이든, 저희 치과 기공소는 심미적 우수성을 위한 신뢰할 수 있는 파트너입니다.

심미적 비니어의 삶을 변화시키는 힘을 경험한 전 세계 수많은 만족스러운 클리닉과 환자분들과 함께 하세요. 아름답고 건강한 미소를 오래도록 유지할 수 있도록 도와드리겠습니다.

#makeover #customveneers #dentallaboratory #natural-lookingveneers #minimallyinvasiveveneers #premiumdentallab #ceramicveneers #smiledesigndentalaesthetics #veneercases #internationaldentallab
관련 제품
글로벌 치과실험실용 프리미엄 지르코니아 왕관 비디오
프리미엄 지르코니아 치과 왕관 솔루션 비디오
최고의 가격을 얻으십시오
지르코니아 치과 왕관 제조 연구소 비디오
최고의 가격을 얻으십시오
최고의 가격을 얻으십시오
치과 바이오 미메틱 에스테틱 디아그노스틱 백스업 비디오
포르셀라인 포니어 구강 복원 비디오
최고의 가격을 얻으십시오
좋은 가격  온라인으로

제품 세부 정보

Created with Pixso. Created with Pixso. 상품 Created with Pixso.
치과 생물 모방 미학
Created with Pixso. Joydentalab의 인기 제품: 시뮬레이션 심미 비니어

Joydentalab의 인기 제품: 시뮬레이션 심미 비니어

브랜드 이름: Joydenta
MOQ: 유연한
포장에 대한 세부 사항: 상자가 있는 버블랩
지불 조건: 전신환 페이팔
자세한 정보
브랜드 이름:
Joydenta
최소 주문 수량:
유연한
포장 세부 사항:
상자가 있는 버블랩
배달 시간:
4 일로 일합니다
지불 조건:
전신환 페이팔
공급 능력:
500건/일
강조하다:

시뮬레이션 치과 비니어 심미

,

보증이 있는 치과 비니어

,

인기 있는 심미 비니어 치과

제품 설명
Joydentalab의 인기 제품: 시뮬레이션된 심미적 비니어
자연스러운 심미적 비니어로 미소를 변화시키세요 - 사례 연구

저희 치과 기공소는 자연 치아와 완벽하게 조화되는 프리미엄 맞춤형 심미적 비니어를 제작하는 데 자부심을 가지고 있습니다. 최근 선도적인 치과 클리닉과의 협력을 통해 또 하나의 놀라운 미소 변신을 이루어냈으며, 이 특별한 사례를 여러분과 공유하게 되어 기쁩니다.

환자는 다음과 같은 증상을 보였습니다: 미적 감각과 자신감에 영향을 미치는 변색되고 고르지 못한 치아.

결과: 밝고 대칭적이며 자연스러운 미소는 많은 것을 말해줍니다.

정밀함과 예술적 감각으로 디자인된 고품질 도자기 비니어를 사용하여 자연 에나멜의 빛 반사 특성을 완벽하게 모방한 얇고 내구성이 뛰어난 라미네이트 세트를 만들었습니다. 결과는? 흠 잡을 데 없고 오래 지속되는, 진짜처럼 보이는 미소입니다.

저희 치과 비니어를 선택해야 하는 이유는?
  • 맞춤화: 각 비니어는 환자의 얼굴 특징과 원하는 결과를 일치시키기 위해 디지털 방식으로 디자인되고 수작업으로 마감됩니다.
  • 생체 적합성: 자연스러운 외관과 지속적인 성능을 위해 프리미엄 얼룩 방지 재료만 사용합니다.
  • 최소 침습: 저희 초박형 비니어는 치아를 거의 또는 전혀 줄일 필요가 없어 자연 치아 구조를 보존합니다.

이 사례는 적절한 전문 지식과 재료를 통해 현대적인 심미 치과가 무엇을 달성할 수 있는지 보여주는 증거입니다. 미소 성형을 제공하려는 치과 의사이든, 자신감 향상을 원하는 환자이든, 저희 치과 기공소는 심미적 우수성을 위한 신뢰할 수 있는 파트너입니다.

심미적 비니어의 삶을 변화시키는 힘을 경험한 전 세계 수많은 만족스러운 클리닉과 환자분들과 함께 하세요. 아름답고 건강한 미소를 오래도록 유지할 수 있도록 도와드리겠습니다.

#makeover #customveneers #dentallaboratory #natural-lookingveneers #minimallyinvasiveveneers #premiumdentallab #ceramicveneers #smiledesigndentalaesthetics #veneercases #internationaldentallab
관련 제품
글로벌 치과실험실용 프리미엄 지르코니아 왕관 비디오
프리미엄 지르코니아 치과 왕관 솔루션 비디오
최고의 가격을 얻으십시오
지르코니아 치과 왕관 제조 연구소 비디오
최고의 가격을 얻으십시오
최고의 가격을 얻으십시오
치과 바이오 미메틱 에스테틱 디아그노스틱 백스업 비디오
포르셀라인 포니어 구강 복원 비디오
최고의 가격을 얻으십시오