좋은 가격  온라인으로

제품 세부 정보

Created with Pixso. Created with Pixso. 상품 Created with Pixso.
치과 생물 모방 미학
Created with Pixso. 지르코니아 치과 왕관 사례 연구 ∙ 글로벌 연구소 아웃소싱 - 조이덴탈랩

지르코니아 치과 왕관 사례 연구 ∙ 글로벌 연구소 아웃소싱 - 조이덴탈랩

브랜드 이름: Joydenta
MOQ: 유연한
배달 시간: 4 일로 일합니다
지불 조건: 전신환 페이팔
자세한 정보
새로운 웹사이트:
www.joydenta-lab.com
새로운 웹사이트:
https://joydenta-lab.com/en/
포장 세부 사항:
상자가 있는 버블랩
공급 능력:
500건/일
강조하다:

자연스러운 모양의 지르코니아 치아

,

치과용 지르코니아 틀니

,

치아 대체용 지르코니아 의치

제품 설명

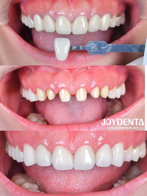
지르코니아 치아 왕관 사례 연구 Joydentalab의 프리미엄 글로벌 아웃소싱

이 임상 사례는 몇 년 전에 금속-세라믹 왕관을 받은 환자를 위한 2차 복원입니다.그리고 미학적으로 진보 된 솔루션치과 진료소는지르코니아 치아 왕관제조된 시스템JOY 치과실험실, 그리고 결과는 정확성과 미적 성능 모두에서 명백한 발전입니다.

사진에서 볼 수 있듯이, 오래된 인공치과 새로운 지르코니아 복원치의 차이점은 중요합니다.지르코니아 치아 왕관제공:

  • 색상 정확성 및 투명성 향상

  • 환자 의 자연 의 치아 와 조화롭게 조화 를 이루는 정교 한 해부학적 형태

  • 뛰어난 장기적 강도와 안정성

  • 민감한 환자에게 적합한 생체 호환성 물질

치과와 환자 모두 최종 결과에 만족했습니다.왜 지르코니아가 현대 복원 치과에서 가장 신뢰할 수 있는 재료 중 하나인지를 강화합니다..


왜 세계 치과 연구소 들 이 지르코니아 복원 을 위해 JOY 치과 연구소를 선택 하는가

그 결과프리미엄 치과 연구실국제 아웃소싱을 전문으로 하는JOY 치과실험실미국 전역의 치과 연구소를 지원합니다.미국, 오스트레일리아, 영국고밀도의 지르코니아 용액으로

우리의 장점은 다음과 같습니다:

  • 고급 CAD/CAM 워크플로우를 통해 디지털 디자인 일관성

  • 고강도 다층 지르코니아 재료

  • 글로벌 고객을 위한 안정적인 처리 시간

  • 예측 가능한 결과를 보장하기 위해 엄격한 품질 관리

  • 장거리 실험실 협력을 위한 전문적인 통신

단일 단위 케이스, 전체 아치 지르코니아 브릿지, 또는 임플란트 지원 복원이 필요한 경우, 우리는 글로벌 치과 연구소에 맞춘 신뢰할 수 있는 생산 지원을 제공합니다.


신뢰할 수 있는 글로벌 아웃소싱 연구소 파트너

만약 여러분의 클리닉이나 실험실이지르코니아 치아 왕관제조JOY 치과실험실 제조의 정확성, 자연스러운 미학, 그리고 우수한 국제 서비스를 제공합니다.

우리는 전세계의 치과 연구소를 환영합니다. 고품질의 지르코니아 공예로 그들의 회복 결과를 향상시키고 협력하기 위해서입니다.

좋은 가격  온라인으로

제품 세부 정보

Created with Pixso. Created with Pixso. 상품 Created with Pixso.
치과 생물 모방 미학
Created with Pixso. 지르코니아 치과 왕관 사례 연구 ∙ 글로벌 연구소 아웃소싱 - 조이덴탈랩

지르코니아 치과 왕관 사례 연구 ∙ 글로벌 연구소 아웃소싱 - 조이덴탈랩

브랜드 이름: Joydenta
MOQ: 유연한
포장에 대한 세부 사항: 상자가 있는 버블랩
지불 조건: 전신환 페이팔
자세한 정보
브랜드 이름:
Joydenta
새로운 웹사이트:
www.joydenta-lab.com
새로운 웹사이트:
https://joydenta-lab.com/en/
최소 주문 수량:
유연한
포장 세부 사항:
상자가 있는 버블랩
배달 시간:
4 일로 일합니다
지불 조건:
전신환 페이팔
공급 능력:
500건/일
강조하다:

자연스러운 모양의 지르코니아 치아

,

치과용 지르코니아 틀니

,

치아 대체용 지르코니아 의치

제품 설명

지르코니아 치아 왕관 사례 연구 Joydentalab의 프리미엄 글로벌 아웃소싱

이 임상 사례는 몇 년 전에 금속-세라믹 왕관을 받은 환자를 위한 2차 복원입니다.그리고 미학적으로 진보 된 솔루션치과 진료소는지르코니아 치아 왕관제조된 시스템JOY 치과실험실, 그리고 결과는 정확성과 미적 성능 모두에서 명백한 발전입니다.

사진에서 볼 수 있듯이, 오래된 인공치과 새로운 지르코니아 복원치의 차이점은 중요합니다.지르코니아 치아 왕관제공:

  • 색상 정확성 및 투명성 향상

  • 환자 의 자연 의 치아 와 조화롭게 조화 를 이루는 정교 한 해부학적 형태

  • 뛰어난 장기적 강도와 안정성

  • 민감한 환자에게 적합한 생체 호환성 물질

치과와 환자 모두 최종 결과에 만족했습니다.왜 지르코니아가 현대 복원 치과에서 가장 신뢰할 수 있는 재료 중 하나인지를 강화합니다..


왜 세계 치과 연구소 들 이 지르코니아 복원 을 위해 JOY 치과 연구소를 선택 하는가

그 결과프리미엄 치과 연구실국제 아웃소싱을 전문으로 하는JOY 치과실험실미국 전역의 치과 연구소를 지원합니다.미국, 오스트레일리아, 영국고밀도의 지르코니아 용액으로

우리의 장점은 다음과 같습니다:

  • 고급 CAD/CAM 워크플로우를 통해 디지털 디자인 일관성

  • 고강도 다층 지르코니아 재료

  • 글로벌 고객을 위한 안정적인 처리 시간

  • 예측 가능한 결과를 보장하기 위해 엄격한 품질 관리

  • 장거리 실험실 협력을 위한 전문적인 통신

단일 단위 케이스, 전체 아치 지르코니아 브릿지, 또는 임플란트 지원 복원이 필요한 경우, 우리는 글로벌 치과 연구소에 맞춘 신뢰할 수 있는 생산 지원을 제공합니다.


신뢰할 수 있는 글로벌 아웃소싱 연구소 파트너

만약 여러분의 클리닉이나 실험실이지르코니아 치아 왕관제조JOY 치과실험실 제조의 정확성, 자연스러운 미학, 그리고 우수한 국제 서비스를 제공합니다.

우리는 전세계의 치과 연구소를 환영합니다. 고품질의 지르코니아 공예로 그들의 회복 결과를 향상시키고 협력하기 위해서입니다.